版块导航
正在加载中...
客户端APP下载
论文辅导
调剂小程序
登录
注册
帖子
帖子
用户
本版
应《网络安全法》要求,自2017年10月1日起,未进行实名认证将不得使用互联网跟帖服务。为保障您的帐号能够正常使用,请尽快对帐号进行手机号验证,感谢您的理解与支持!
24小时热门版块排行榜
>
论坛更新日志
(2694)
>
虫友互识
(230)
>
文献求助
(152)
>
导师招生
(78)
>
考博
(66)
>
硕博家园
(46)
>
基金申请
(35)
>
教师之家
(34)
>
考研
(31)
>
休闲灌水
(29)
>
论文投稿
(28)
>
公派出国
(27)
>
招聘信息布告栏
(26)
>
绿色求助(高悬赏)
(26)
>
找工作
(24)
>
博后之家
(23)
小木虫论坛-学术科研互动平台
»
生物医药区
»
微生物
»
分类/鉴定
»
白色念珠菌
9
1/1
返回列表
查看: 2019 | 回复: 8
只看楼主
@他人
存档
新回复提醒
(忽略)
收藏
在APP中查看
张文波z
木虫
(正式写手)
应助: 4
(幼儿园)
金币: 3114.8
帖子: 433
在线: 107.7小时
虫号: 3447794
已领完
白色念珠菌
领取红包
(小木虫手机app专属红包)
扫一扫,下载小木虫客户端
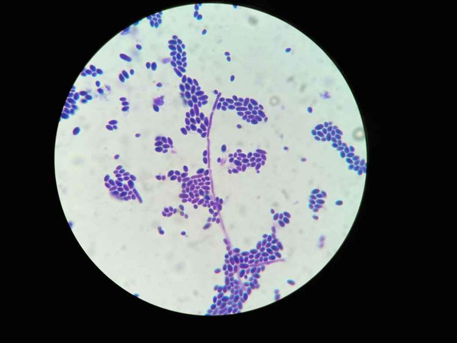
请问这是白色念珠菌吗?
发自小木虫Android客户端
回复此楼
» 猜你喜欢
依托企业入选了国家启明计划青年人才。有无高校可以引进的。
已经有7人回复
同年申请2项不同项目,第1个项目里不写第2个项目的信息,可以吗
已经有7人回复
依托企业入选了国家启明计划青年人才。有无高校可以引进的。
已经有10人回复
天津大学招2026.09的博士生,欢迎大家推荐交流(博导是本人)
已经有9人回复
有院领导为了换新车,用横向课题经费买了俩车
已经有10人回复
AI 太可怕了,写基金时,提出想法,直接生成的文字比自己想得深远,还有科学性
已经有6人回复
酰胺脱乙酰基
已经有13人回复
有时候真觉得大城市人没有县城人甚至个体户幸福
已经有10人回复
高级回复
» 抢金币啦!回帖就可以得到:
查看全部散金贴
华南师范大学(211)- 光电科学与工程学院 - 申请审核制(2026年4-5月份面试考核)
+
2
/120
供应爱德华RV 3、RV 12,阿特拉斯及莱宝真空品牌油泵及分子泵等真空产品15216851283
+
1
/83
好玩的不敢搞,能搞的不挣钱,能挣钱的我不会做
+
1
/70
同济大学脑机智能团队脑机接口方向招生招聘
+
1
/34
湘潭大学“过程强化与绿色化工”创新团队补招2026年秋入学博士生
+
2
/30
西安交通大学前沿院/机械学院招收2026级硕博研究生!
+
1
/29
澳门大学生物医学影像实验室诚招博士生(2026秋季入学)
+
1
/20
新加坡 南洋理工大学- 智能光子/ 传感 PHD 全奖一名 2026 - 8 月入学
+
1
/17
香港中文大学(深圳)陈筱萌 课题组招生公告(博士 / 博后 / 硕士 / RA)
+
1
/15
【东南大学博士后、科研助理招聘】
+
1
/12
深圳大学柔性电子材料方向“申请-考核制”博士生招生
+
2
/10
上海工程技术大学张培磊教授团队招收博士生
+
1
/10
北京工业大学化生学院青年教师或“青年优秀人才”招聘启事
+
1
/6
香港中文大学(深圳)陈筱萌 课题组招生公告(博士 / 博后 / 硕士 / RA)
+
1
/6
江汉大学轩亮教授课题组招博士研究生/博士后
+
1
/5
哈工大(深圳)物理招收2026年9月入学博士生1个名额
+
1
/4
广东工业大学马琳教授课题组招收2026年博士(材料物理与化学、光学专业)
+
1
/4
【科研助理招聘-北京理工大学-集成电路与电子学院-国家杰青团队】
+
1
/4
美国密苏里大学“柔性电子”课题组诚招博士研究生
+
1
/3
【经验分享】CRISPR基因敲除细胞系构建全流程踩坑指南——从递送方式选择到克隆筛选
+
1
/2
1楼
2016-11-22 23:54:48
已阅
回复此楼
关注TA
给TA发消息
送TA红花
TA的回帖
匿名
用户注销
(正式写手)
应助: 0
(幼儿园)
金币: 583.9
帖子: 650
在线: 170.5小时
虫号: 0
★
小木虫: 金币+0.5, 给个红包,谢谢回帖
本帖仅楼主可见
赞
一下
9楼
2016-11-23 00:00:12
已阅
申请MicEPI
回复此楼
编辑
查看我的主页
简单回复
chenner
2楼
2016-11-22 23:54
回复
张文波z(金币+1): 谢谢参与
已获得
1
个金币
发自小木虫IOS客户端
左右左岸
3楼
2016-11-22 23:54
回复
张文波z(金币+1): 谢谢参与
已获得
1
个金币
发自小木虫Android客户端
chensl0122
4楼
2016-11-22 23:54
回复
张文波z(金币+2): 谢谢参与
已获得
2
个金币
发自小木虫Android客户端
2974496
5楼
2016-11-22 23:54
回复
张文波z(金币+1): 谢谢参与
已获得
1
个金币
发自小木虫Android客户端
azliuqian
6楼
2016-11-22 23:54
回复
张文波z(金币+1): 谢谢参与
已获得
1
个金币
发自小木虫IOS客户端
洋洋123456
7楼
2016-11-22 23:54
回复
张文波z(金币+2): 谢谢参与
已获得
2
个金币
发自小木虫Android客户端
雨儿2020
8楼
2016-11-22 23:55
回复
张文波z(金币+2): 谢谢参与
已获得
2
个金币
发自小木虫IOS客户端
相关版块跳转
新药研发
药学
药品生产
分子生物
微生物
动植物
生物科学
医学
我要订阅楼主
张文波z
的主题更新
9
1/1
返回列表
如果回帖内容含有宣传信息,请如实选中。否则帐号将被全论坛禁言
普通表情
龙
兔
虎
猫
高级回复
(可上传附件)
百度网盘
|
360云盘
|
千易网盘
|
华为网盘
在新窗口页面中打开自己喜欢的网盘网站,将文件上传后,然后将下载链接复制到帖子内容中就可以了。
信息提示
关闭
请填处理意见
关闭
确定