版块导航
正在加载中...
客户端APP下载
论文辅导
申博辅导
登录
注册
帖子
帖子
用户
本版
应《网络安全法》要求,自2017年10月1日起,未进行实名认证将不得使用互联网跟帖服务。为保障您的帐号能够正常使用,请尽快对帐号进行手机号验证,感谢您的理解与支持!
24小时热门版块排行榜
>
论坛更新日志
(3069)
>
文献求助
(236)
>
导师招生
(211)
>
虫友互识
(194)
>
硕博家园
(57)
>
博后之家
(55)
>
考博
(50)
>
公派出国
(50)
>
论文投稿
(50)
>
休闲灌水
(45)
>
基金申请
(41)
>
考研
(38)
>
招聘信息布告栏
(34)
>
论文道贺祈福
(32)
>
找工作
(28)
>
教师之家
(27)
小木虫论坛-学术科研互动平台
»
生物医药区
»
药学
»
药剂学
»
求养caco-2细胞的小伙伴经验交流
18
1/1
返回列表
查看: 2097 | 回复: 17
只看楼主
@他人
存档
新回复提醒
(忽略)
收藏
在APP中查看
樱花泪3086
新虫
(初入文坛)
应助: 0
(幼儿园)
金币: 19.9
帖子: 44
在线: 42.7小时
虫号: 4592303
已领完
求养caco-2细胞的小伙伴经验交流
领取红包
(小木虫手机app专属红包)
扫一扫,下载小木虫客户端
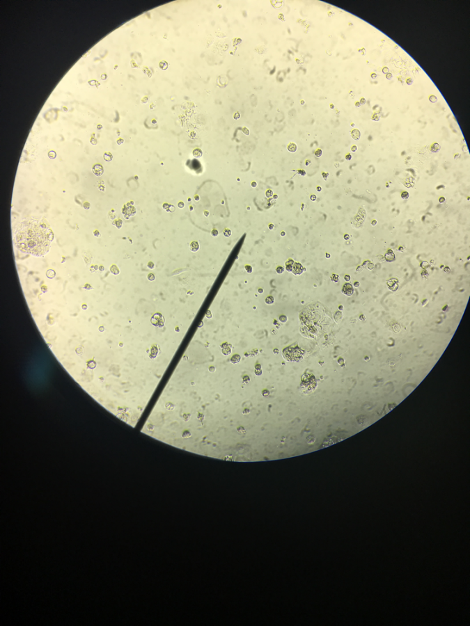
有没有人在养caco-2细胞,最近新买的caco-2又死了,有在养的一起交流一下吧!细胞总是图片上这样,长得也很慢,很郁闷!
发自小木虫IOS客户端
回复此楼
» 猜你喜欢
限项规定
已经有7人回复
青椒八年已不青,大家都被折磨成啥样了?
已经有4人回复
救命帖
已经有8人回复
招博士
已经有4人回复
西南交通大学国家级人才团队2026年博士研究生招生(考核制)—机械、材料、力学方向
已经有3人回复
英文综述是否需要润色及查重
已经有5人回复
为什么nbs上溴 没有产物点出现呢
已经有9人回复
最失望的一年
已经有18人回复
高级回复
» 抢金币啦!回帖就可以得到:
查看全部散金贴
南佛罗里达大学化学系刘文奇课题组 2026 Fall 招收有机/超分子方向博士生
+
2
/918
nanomaterials特刊:纳米材料在电化学能源领域的应用(SCI 中科院三区,IF4.5)征稿
+
5
/275
“超分子材料交叉研究团队”联合诚聘博士后 [清华/吉大/复旦/北大]
+
1
/95
【2026/2027 哈工大计算机类博士招生】
+
1
/87
广东工业大学自动化学院鲁仁全教授团队刘勇华老师招收2026年博士研究生(申请制)
+
1
/83
南方医科大学发育生物学教研室夏来新教授课题组招收26级博士研究生
+
1
/79
深圳大学信息功能聚合物电介质方向“申请-考核制”博士生招生
+
1
/76
大连理工大学智能系统实验室优秀硕博研究生招生
+
1
/73
南昌大学化学化工学院付拯江教授拟招收“申请-考核”制博士研究生
+
1
/72
中国科协青年托举(针对32岁青年人才的)是不是不搞了,25年都没有通知
+
1
/66
东北林业大学刘松教授课题组长期招收博士、博士后
+
1
/31
西交利物浦大学黄彪院士招收26年全奖博士生1名(工业智能方向)
+
1
/31
西工大可塑性液体材料课题组招收软物质、流体力学、细胞工程等背景博士生
+
1
/28
论文投稿散金祈愿-电机学报
+
2
/14
【陕西师范大学】催化化学课题组2026年招收博士后/讲师/副高
+
1
/13
深圳大学院士团队2026“申请-考核制”博士研究生招生
+
1
/8
福建师范大学柔性电子学院 院士团队招2026级博士 光电器件、发光传感忆阻器
+
1
/6
中国计量大学叶德茂课题组招收博士研究生(欢迎计算机类、电子信息类等专业)
+
1
/4
中南民族大学-国家级领军人才团队超支化聚合物方向2026年博士研究生招生
+
1
/4
华南理工大学宋波教授招聘材料和化学方向博士后(长期有限)
+
1
/3
1楼
2016-10-27 13:35:03
已阅
回复此楼
关注TA
给TA发消息
送TA红花
TA的回帖
implications
木虫
(正式写手)
应助: 0
(幼儿园)
金币: 3187.7
帖子: 524
在线: 44.9小时
虫号: 3098244
哇哇哇
发自小木虫Android客户端
回复此楼
10楼
2016-10-27 13:39:44
已阅
回复此楼
关注TA
给TA发消息
送TA红花
TA的回帖
樱花泪3086
新虫
(初入文坛)
应助: 0
(幼儿园)
金币: 19.9
帖子: 44
在线: 42.7小时
虫号: 4592303
引用回帖:
10楼
:
Originally posted by
implications
at 2016-10-27 13:39:44
哇哇哇
状态不对是吧?
发自小木虫IOS客户端
回复此楼
11楼
2016-10-27 14:31:05
已阅
回复此楼
关注TA
给TA发消息
送TA红花
TA的回帖
implications
木虫
(正式写手)
应助: 0
(幼儿园)
金币: 3187.7
帖子: 524
在线: 44.9小时
虫号: 3098244
★
小木虫: 金币+0.5, 给个红包,谢谢回帖
引用回帖:
11楼
:
Originally posted by
樱花泪3086
at 2016-10-27 14:31:05
状态不对是吧?
...
(ㄒoㄒ) 我不知道啊
发自小木虫Android客户端
赞
一下
回复此楼
12楼
2016-10-27 15:12:08
已阅
回复此楼
关注TA
给TA发消息
送TA红花
TA的回帖
樱花泪3086
新虫
(初入文坛)
应助: 0
(幼儿园)
金币: 19.9
帖子: 44
在线: 42.7小时
虫号: 4592303
引用回帖:
12楼
:
Originally posted by
implications
at 2016-10-27 15:12:08
(ㄒoㄒ) 我不知道啊
...
尴尬了
发自小木虫IOS客户端
回复此楼
13楼
2016-10-27 19:10:38
已阅
回复此楼
关注TA
给TA发消息
送TA红花
TA的回帖
implications
木虫
(正式写手)
应助: 0
(幼儿园)
金币: 3187.7
帖子: 524
在线: 44.9小时
虫号: 3098244
★
小木虫: 金币+0.5, 给个红包,谢谢回帖
引用回帖:
13楼
:
Originally posted by
樱花泪3086
at 2016-10-27 19:10:38
尴尬了
...
恩恩,我只是看到图片挺好看的,然后就……*(^o^)/*
发自小木虫Android客户端
赞
一下
回复此楼
14楼
2016-10-27 22:15:57
已阅
回复此楼
关注TA
给TA发消息
送TA红花
TA的回帖
926417
铁虫
(初入文坛)
应助: 0
(幼儿园)
金币: 17.4
帖子: 42
在线: 15.4小时
虫号: 4524403
★
小木虫: 金币+0.5, 给个红包,谢谢回帖
你是用什么培养基培养的啊
赞
一下
回复此楼
15楼
2016-11-21 10:56:20
已阅
回复此楼
关注TA
给TA发消息
送TA红花
TA的回帖
我也木有猫呀
新虫
(初入文坛)
应助: 0
(幼儿园)
金币: 75.5
帖子: 4
在线: 2.8小时
虫号: 5686609
★
小木虫: 金币+0.5, 给个红包,谢谢回帖
细胞基数是不是太低啊
发自小木虫Android客户端
赞
一下
回复此楼
16楼
2017-03-21 09:33:14
已阅
回复此楼
关注TA
给TA发消息
送TA红花
TA的回帖
孙合园
新虫
(小有名气)
应助: 0
(幼儿园)
金币: 57.4
帖子: 55
在线: 20.5小时
虫号: 4467392
★
小木虫: 金币+0.5, 给个红包,谢谢回帖
亲,我的CaCo-2细胞也是这个状态,我很郁闷,请问您解决了吗?
赞
一下
回复此楼
17楼
2018-03-26 15:44:57
已阅
回复此楼
关注TA
给TA发消息
送TA红花
TA的回帖
Svetlana79
新虫
(初入文坛)
应助: 0
(幼儿园)
金币: 165.5
帖子: 25
在线: 11.4小时
虫号: 8347187
★
小木虫: 金币+0.5, 给个红包,谢谢回帖
引用回帖:
17楼
:
Originally posted by
孙合园
at 2018-03-26 15:44:57
亲,我的CaCo-2细胞也是这个状态,我很郁闷,请问您解决了吗?
最近我的细胞也出现了这种情况,请问您解决了吗?可否与您交流一下问题?
赞
一下
回复此楼
18楼
2020-11-22 16:18:09
已阅
回复此楼
关注TA
给TA发消息
送TA红花
TA的回帖
简单回复
张勋
2楼
2016-10-27 13:35
回复
樱花泪3086(金币+3): 谢谢参与
已获得
3
个金币
发自小木虫Android客户端
麦色123
3楼
2016-10-27 13:35
回复
樱花泪3086(金币+5): 谢谢参与
已获得
5
个金币
发自小木虫Android客户端
290214281
4楼
2016-10-27 13:35
回复
樱花泪3086(金币+3): 谢谢参与
已获得
3
个金币
发自小木虫Android客户端
林逸123
5楼
2016-10-27 13:35
回复
樱花泪3086(金币+5): 谢谢参与
已获得
5
个金币
发自小木虫Android客户端
chem2939
6楼
2016-10-27 13:35
回复
樱花泪3086(金币+4): 谢谢参与
已获得
4
个金币
发自小木虫Android客户端
wanghu75944
7楼
2016-10-27 13:35
回复
樱花泪3086(金币+5): 谢谢参与
已获得
5
个金币
发自小木虫Android客户端
songyuming1000
8楼
2016-10-27 13:35
回复
樱花泪3086(金币+3): 谢谢参与
已获得
3
个金币
发自小木虫Android客户端
小念520
9楼
2016-10-27 13:35
回复
樱花泪3086(金币+2): 谢谢参与
已获得
2
个金币
发自小木虫Android客户端
相关版块跳转
新药研发
药学
药品生产
分子生物
微生物
动植物
生物科学
医学
我要订阅楼主
樱花泪3086
的主题更新
18
1/1
返回列表
如果回帖内容含有宣传信息,请如实选中。否则帐号将被全论坛禁言
普通表情
龙
兔
虎
猫
高级回复
(可上传附件)
百度网盘
|
360云盘
|
千易网盘
|
华为网盘
在新窗口页面中打开自己喜欢的网盘网站,将文件上传后,然后将下载链接复制到帖子内容中就可以了。
信息提示
关闭
请填处理意见
关闭
确定