| ²é¿´: 2362 | »Ø¸´: 12 | ||
ECLAгæ (³õÈëÎÄ̳)
|
[ÇóÖú]
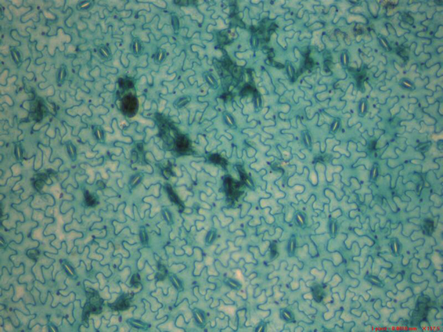
ÇóÖú´ó¼ÒÒÔϵÄͼƬÊÇÔÚ¼¸±¶¾µÏ¹۲ìµÄ£¬Ð»Ð»´ó¼Ò¡£
|
|
|
ÇóÖú´ó¼ÒÒÔÏÂÁ½ÕÅͼƬ´ó¸ÅÊǶàÉÙ±¶¾µÍ·ÏÂÅĵģ¬Ð»Ð»£¡ ·¢×ÔСľ³æIOS¿Í»§¶Ë |
» ²ÂÄãϲ»¶
321Çóµ÷¼Á
ÒѾÓÐ3È˻ظ´
Çóµ÷¼Á
ÒѾÓÐ4È˻ظ´
08¿ªÍ·275Çóµ÷¼Á
ÒѾÓÐ3È˻ظ´
329Çóµ÷¼Á
ÒѾÓÐ10È˻ظ´
294·Ö080500²ÄÁÏ¿ÆÑ§Ó빤³ÌÇóµ÷¼Á
ÒѾÓÐ3È˻ظ´
¸´ÊÔµ÷¼Á£¬Ò»Ö¾Ô¸ÄÏÅ©083200ʳƷ¿ÆÑ§Ó빤³Ì
ÒѾÓÐ3È˻ظ´
085701»·¾³¹¤³Ì£¬267Çóµ÷¼Á
ÒѾÓÐ4È˻ظ´
0703»¯Ñ§Çóµ÷¼Á
ÒѾÓÐ5È˻ظ´
07»¯Ñ§280·ÖÇóµ÷¼Á
ÒѾÓÐ8È˻ظ´
081200-11408-276ѧ˶Çóµ÷¼Á
ÒѾÓÐ3È˻ظ´
ÄäÃû
Óû§×¢Ïú (ÖøÃûдÊÖ)
- Ó¦Öú: 0 (Ó×¶ùÔ°)
- ½ð±Ò: 1513.6
- É¢½ð: 2027
- ºì»¨: 41
- Ìû×Ó: 2908
- ÔÚÏß: 268.6Сʱ
- ³æºÅ: 0
- ×¢²á: 2016-08-31
- רҵ: Ô°ÒÕ×÷Îï²ÉºóÉúÎïѧ
4Â¥2016-09-29 12:36:20
ÄäÃû
Óû§×¢Ïú (ÖøÃûдÊÖ)
- Ó¦Öú: 85 (³õÖÐÉú)
- ½ð±Ò: 1294.2
- É¢½ð: 30
- ºì»¨: 7
- Ìû×Ó: 1933
- ÔÚÏß: 149.4Сʱ
- ³æºÅ: 0
- ×¢²á: 2013-10-14
- רҵ: ÊÞÒ½ÃâÒßѧ
2Â¥2016-09-29 12:07:01
ÄäÃû
Óû§×¢Ïú (ÖøÃûдÊÖ)
- Ó¦Öú: 0 (Ó×¶ùÔ°)
- ½ð±Ò: 1513.6
- É¢½ð: 2027
- ºì»¨: 41
- Ìû×Ó: 2908
- ÔÚÏß: 268.6Сʱ
- ³æºÅ: 0
- ×¢²á: 2016-08-31
- רҵ: Ô°ÒÕ×÷Îï²ÉºóÉúÎïѧ
3Â¥2016-09-29 12:35:57
ÄäÃû
Óû§×¢Ïú (ÖøÃûдÊÖ)
- Ó¦Öú: 0 (Ó×¶ùÔ°)
- ½ð±Ò: 1513.6
- É¢½ð: 2027
- ºì»¨: 41
- Ìû×Ó: 2908
- ÔÚÏß: 268.6Сʱ
- ³æºÅ: 0
- ×¢²á: 2016-08-31
- רҵ: Ô°ÒÕ×÷Îï²ÉºóÉúÎïѧ
5Â¥2016-09-29 12:37:24
²ÝϪºÓ
Ìú³æ (ÖøÃûдÊÖ)
- Ó¦Öú: 44 (СѧÉú)
- ½ð±Ò: 2862
- É¢½ð: 30
- ºì»¨: 18
- Ìû×Ó: 1164
- ÔÚÏß: 501.2Сʱ
- ³æºÅ: 1935935
- ×¢²á: 2012-08-12
- ÐÔ±ð: GG
- רҵ: Ö²ÎﲡÀíѧ
6Â¥2016-09-29 12:42:24
ECLA
гæ (³õÈëÎÄ̳)
- Ó¦Öú: 0 (Ó×¶ùÔ°)
- ½ð±Ò: 801.5
- Ìû×Ó: 39
- ÔÚÏß: 38.2Сʱ
- ³æºÅ: 3449011
- ×¢²á: 2014-09-29
- רҵ: ÁÙ´²Ï¸°ûѧºÍѪҺѧ¼ìÑé
|
Äú˵µÄÊÇÎï¾µ10±¶£¬40±¶Âð£¿ÒòΪÊDZðÈË·¢¸øÎҵģ¬ËùÒÔ²»Ì«Çå³þÊǼ¸±¶µÄ ·¢×ÔСľ³æIOS¿Í»§¶Ë |
7Â¥2016-09-29 12:43:48
ÄäÃû
Óû§×¢Ïú (ÖøÃûдÊÖ)
- Ó¦Öú: 0 (Ó×¶ùÔ°)
- ½ð±Ò: 1513.6
- É¢½ð: 2027
- ºì»¨: 41
- Ìû×Ó: 2908
- ÔÚÏß: 268.6Сʱ
- ³æºÅ: 0
- ×¢²á: 2016-08-31
- רҵ: Ô°ÒÕ×÷Îï²ÉºóÉúÎïѧ
8Â¥2016-09-29 12:49:02
ÄäÃû
Óû§×¢Ïú (ÖøÃûдÊÖ)
- Ó¦Öú: 0 (Ó×¶ùÔ°)
- ½ð±Ò: 1513.6
- É¢½ð: 2027
- ºì»¨: 41
- Ìû×Ó: 2908
- ÔÚÏß: 268.6Сʱ
- ³æºÅ: 0
- ×¢²á: 2016-08-31
- רҵ: Ô°ÒÕ×÷Îï²ÉºóÉúÎïѧ
9Â¥2016-09-29 12:49:42
ECLA
гæ (³õÈëÎÄ̳)
- Ó¦Öú: 0 (Ó×¶ùÔ°)
- ½ð±Ò: 801.5
- Ìû×Ó: 39
- ÔÚÏß: 38.2Сʱ
- ³æºÅ: 3449011
- ×¢²á: 2014-09-29
- רҵ: ÁÙ´²Ï¸°ûѧºÍѪҺѧ¼ìÑé
10Â¥2016-09-29 13:01:31













»Ø¸´´ËÂ¥