| 查看: 1290 | 回复: 6 | ||
wuhao4850103银虫 (著名写手)
|
[求助]
H.E切片染色后拍照发现组织之间好像出现裂缝 已有1人参与
|
|
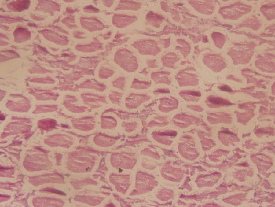
本人最近在做H.E组织切片,用的是 —80度保存的组织,进行常规的苏木精-伊红染色步骤,但是切片做好之后放在显微镜下观察发现,组织内部好像出现了这种很明显的裂纹,感觉好像细胞都散落开了一样,想请问这究竟是怎么回事,染色后的这种形态正常吗,组织内部的这种裂纹是怎么形成的? Image3性腺 PbCl2+FeCl3.jpg |
» 猜你喜欢
今年春晚有几个节目很不错,点赞!
已经有12人回复
情人节自我反思:在爱情中有过遗憾吗?
已经有13人回复
体制内长辈说体制内绝大部分一辈子在底层,如同你们一样大部分普通教师忙且收入低
已经有12人回复
过年走亲戚时感受到了所开私家车的鄙视链
已经有9人回复
基金正文30页指的是报告正文还是整个申请书
已经有5人回复

star013
新虫 (知名作家)
- 应助: 4 (幼儿园)
- 金币: 1488.5
- 散金: 831
- 红花: 33
- 帖子: 5395
- 在线: 493.3小时
- 虫号: 1401381
- 注册: 2011-09-14
- 专业: 法学
2楼2016-09-14 18:36:15
star013
新虫 (知名作家)
- 应助: 4 (幼儿园)
- 金币: 1488.5
- 散金: 831
- 红花: 33
- 帖子: 5395
- 在线: 493.3小时
- 虫号: 1401381
- 注册: 2011-09-14
- 专业: 法学
3楼2016-09-14 18:36:31
4楼2016-09-15 00:38:49

5楼2016-09-18 09:18:50
wuhao4850103
银虫 (著名写手)
- 应助: 1 (幼儿园)
- 金币: 1201.5
- 散金: 430
- 帖子: 1541
- 在线: 297.1小时
- 虫号: 2026597
- 注册: 2012-09-24
- 性别: GG
- 专业: 生物化学

6楼2016-09-19 18:57:14
wuhao4850103
银虫 (著名写手)
- 应助: 1 (幼儿园)
- 金币: 1201.5
- 散金: 430
- 帖子: 1541
- 在线: 297.1小时
- 虫号: 2026597
- 注册: 2012-09-24
- 性别: GG
- 专业: 生物化学

7楼2016-09-19 18:58:42













回复此楼
wuhao4850103