| ²é¿´: 1296 | »Ø¸´: 11 | ||
minxuehong½ð³æ (ÖøÃûдÊÖ)
|
[ÇóÖú]
ϸ°ûÅàÑøÅàÑøÎÊÌâ ÒÑÓÐ3È˲ÎÓë
|
|
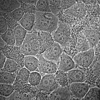
²»ÖªµÀÓÐÈËÖªµÀϸ°ûÔõôÕâôÔà°¡£¬Ï¸°ûÉú³¤×´Ì¬»¹ºÃ£¬ÅԱ߾ÍÊÇÓкܶàÔà¶«Î÷£¬ÄÇÔà¶«Î÷Óа취ȥ³ýÂ𣿠@gyesang 1-a.jpg |
» ²ÂÄãϲ»¶
271Çóµ÷¼Á
ÒѾÓÐ6È˻ظ´
312Çóµ÷¼Á
ÒѾÓÐ9È˻ظ´
352Çóµ÷¼Á
ÒѾÓÐ4È˻ظ´
085602»¯Ñ§¹¤³ÌÇóµ÷¼Á¡£
ÒѾÓÐ3È˻ظ´
085600²ÄÁÏÓ뻯¹¤306
ÒѾÓÐ6È˻ظ´
»úеѧ˶310·Ö£¬ÊýÒ»Ó¢Ò»£¬Ò»Ö¾Ô¸211±¾¿ÆË«·ÇÕÒµ÷¼ÁÐÅÏ¢
ÒѾÓÐ3È˻ظ´
Ò»Ö¾Ô¸Î÷ÄϽ»Í¨ ר˶ ²ÄÁÏ355 ±¾¿ÆË«·Ç Çóµ÷¼Á
ÒѾÓÐ6È˻ظ´
085602 289·ÖÇóµ÷¼Á
ÒѾÓÐ8È˻ظ´
085601Çóµ÷¼Á×Ü·Ö293Ó¢Ò»Êý¶þ
ÒѾÓÐ4È˻ظ´
292Çóµ÷¼Á
ÒѾÓÐ10È˻ظ´
» ±¾Ö÷ÌâÏà¹Ø¼ÛÖµÌùÍÆ¼ö£¬¶ÔÄúͬÑùÓаïÖú:
ϸ°ûÅàÑøÎÊÌâ
ÒѾÓÐ10È˻ظ´
ϸ°ûÅàÑøÎÊÌâ
ÒѾÓÐ7È˻ظ´
ϸ°ûÅàÑøÎÊÌâ
ÒѾÓÐ4È˻ظ´

673643401
Ìú³æ (СÓÐÃûÆø)
- Ó¦Öú: 54 (³õÖÐÉú)
- ½ð±Ò: 207.5
- ºì»¨: 1
- Ìû×Ó: 154
- ÔÚÏß: 65.5Сʱ
- ³æºÅ: 2524409
- ×¢²á: 2013-06-28
- ÐÔ±ð: GG
- רҵ: ÉúÎﻯѧ
2Â¥2016-08-15 16:31:29
ÕéÕé×î°ô
½ð³æ (СÓÐÃûÆø)
- Ó¦Öú: 2 (Ó×¶ùÔ°)
- ½ð±Ò: 1560.2
- É¢½ð: 5
- Ìû×Ó: 119
- ÔÚÏß: 60.3Сʱ
- ³æºÅ: 2614654
- ×¢²á: 2013-08-24
- ÐÔ±ð: MM
- רҵ: ½ðÈÚѧ

3Â¥2016-08-15 17:52:33
minxuehong
½ð³æ (ÖøÃûдÊÖ)
- Ó¦Öú: 2 (Ó×¶ùÔ°)
- ½ð±Ò: 11115.9
- É¢½ð: 254
- ºì»¨: 1
- Ìû×Ó: 2193
- ÔÚÏß: 173.1Сʱ
- ³æºÅ: 1812363
- ×¢²á: 2012-05-12
- ÐÔ±ð: GG
- רҵ: ÑùƷǰ´¦Àí·½·¨Óë¼¼Êõ

4Â¥2016-08-15 19:23:39
minxuehong
½ð³æ (ÖøÃûдÊÖ)
- Ó¦Öú: 2 (Ó×¶ùÔ°)
- ½ð±Ò: 11115.9
- É¢½ð: 254
- ºì»¨: 1
- Ìû×Ó: 2193
- ÔÚÏß: 173.1Сʱ
- ³æºÅ: 1812363
- ×¢²á: 2012-05-12
- ÐÔ±ð: GG
- רҵ: ÑùƷǰ´¦Àí·½·¨Óë¼¼Êõ

5Â¥2016-08-15 19:24:31
673643401
Ìú³æ (СÓÐÃûÆø)
- Ó¦Öú: 54 (³õÖÐÉú)
- ½ð±Ò: 207.5
- ºì»¨: 1
- Ìû×Ó: 154
- ÔÚÏß: 65.5Сʱ
- ³æºÅ: 2524409
- ×¢²á: 2013-06-28
- ÐÔ±ð: GG
- רҵ: ÉúÎﻯѧ
6Â¥2016-08-16 09:14:06
minxuehong
½ð³æ (ÖøÃûдÊÖ)
- Ó¦Öú: 2 (Ó×¶ùÔ°)
- ½ð±Ò: 11115.9
- É¢½ð: 254
- ºì»¨: 1
- Ìû×Ó: 2193
- ÔÚÏß: 173.1Сʱ
- ³æºÅ: 1812363
- ×¢²á: 2012-05-12
- ÐÔ±ð: GG
- רҵ: ÑùƷǰ´¦Àí·½·¨Óë¼¼Êõ

7Â¥2016-08-16 13:25:10
673643401
Ìú³æ (СÓÐÃûÆø)
- Ó¦Öú: 54 (³õÖÐÉú)
- ½ð±Ò: 207.5
- ºì»¨: 1
- Ìû×Ó: 154
- ÔÚÏß: 65.5Сʱ
- ³æºÅ: 2524409
- ×¢²á: 2013-06-28
- ÐÔ±ð: GG
- רҵ: ÉúÎﻯѧ
8Â¥2016-08-16 14:23:51
ÕéÕé×î°ô
½ð³æ (СÓÐÃûÆø)
- Ó¦Öú: 2 (Ó×¶ùÔ°)
- ½ð±Ò: 1560.2
- É¢½ð: 5
- Ìû×Ó: 119
- ÔÚÏß: 60.3Сʱ
- ³æºÅ: 2614654
- ×¢²á: 2013-08-24
- ÐÔ±ð: MM
- רҵ: ½ðÈÚѧ

9Â¥2016-08-17 00:04:32
²¡¶¾ÒßÃç
½ð³æ (ÕýʽдÊÖ)
- Ó¦Öú: 2 (Ó×¶ùÔ°)
- ½ð±Ò: 1854.8
- É¢½ð: 20
- ºì»¨: 2
- Ìû×Ó: 620
- ÔÚÏß: 218.3Сʱ
- ³æºÅ: 2499179
- ×¢²á: 2013-06-06
- ÐÔ±ð: GG
- רҵ: ²¡¶¾¡¢²¡¶¾¸ÐȾÓëËÞÖ÷ÃâÒß

10Â¥2016-08-18 09:26:29













»Ø¸´´ËÂ¥