| 查看: 850 | 回复: 0 | ||
[求助]
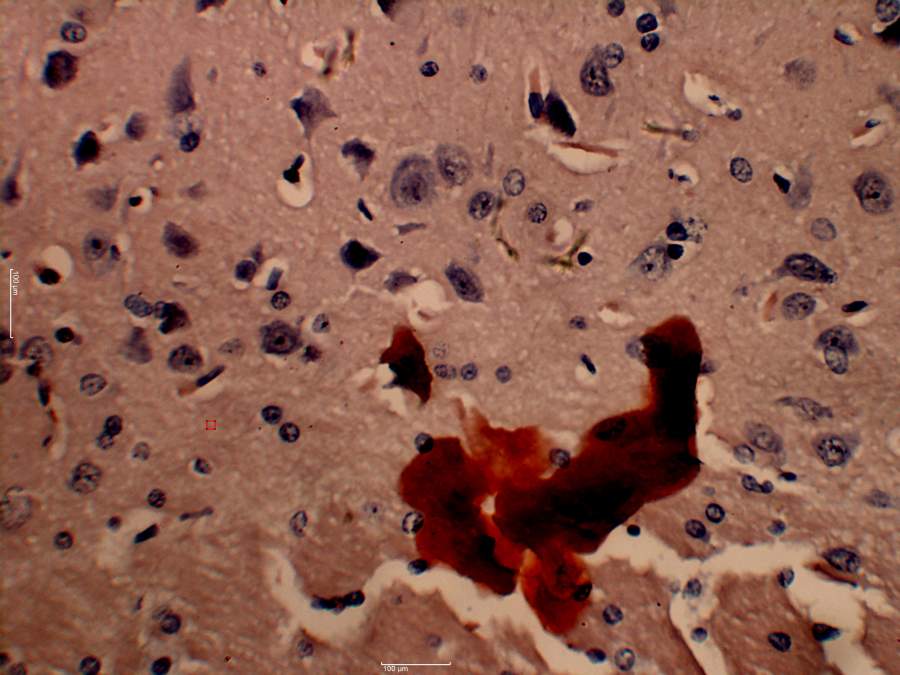
甲醇刚果红染色好奇怪啊
|
|
疑问多多,恳请大神帮忙解答 空白组,海马区无淀粉颗粒看似正常 空白组,400倍镜下图片 空白组,跟第一张一样连刀切得,但是这个空白组海马区全部都是红色颗粒 空白组 空白组 空白组 模型组 模型组 模型组 模型组,这是非组织部位的空白玻璃片同样出现了红色颗粒 阳性药 阳性药 给药组 给药组,龟裂比较严重 |
» 猜你喜欢
面上可以超过30页吧?
已经有3人回复
售SCI一区文章,我:8 O5 51O 54,科目齐全,可+急
已经有5人回复
售SCI一区文章,我:8 O5 51O 54,科目齐全,可+急
已经有6人回复
售SCI一区文章,我:8 O5 51O 54,科目齐全,可+急
已经有3人回复
为什么中国大学教授们水了那么多所谓的顶会顶刊,但还是做不出宇树机器人?
已经有3人回复
售SCI一区文章,我:8 O5 51O 54,科目齐全,可+急
已经有4人回复
售SCI一区文章,我:8 O5 51O 54,科目齐全,可+急
已经有3人回复
售SCI一区文章,我:8 O5 51O 54,科目齐全,可+急
已经有4人回复
“人文社科而论,许多学术研究还没有达到民国时期的水平”
已经有5人回复
过年走亲戚时感受到了所开私家车的鄙视链
已经有11人回复













回复此楼