| 查看: 1227 | 回复: 2 | ||
zcqcau铁杆木虫 (著名写手)
|
[求助]
昆虫头部切片HE染色
|
|
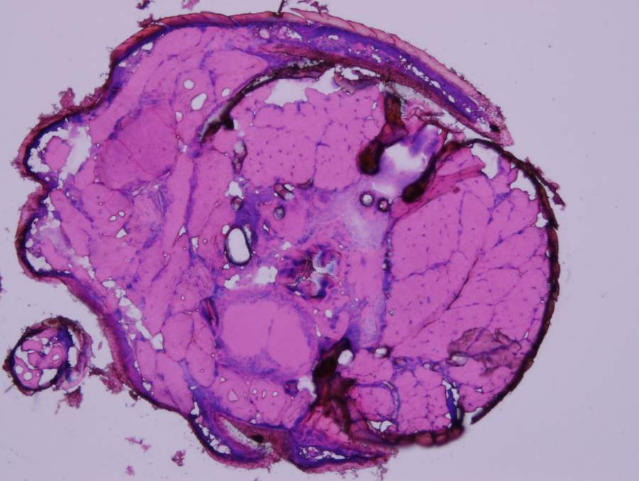
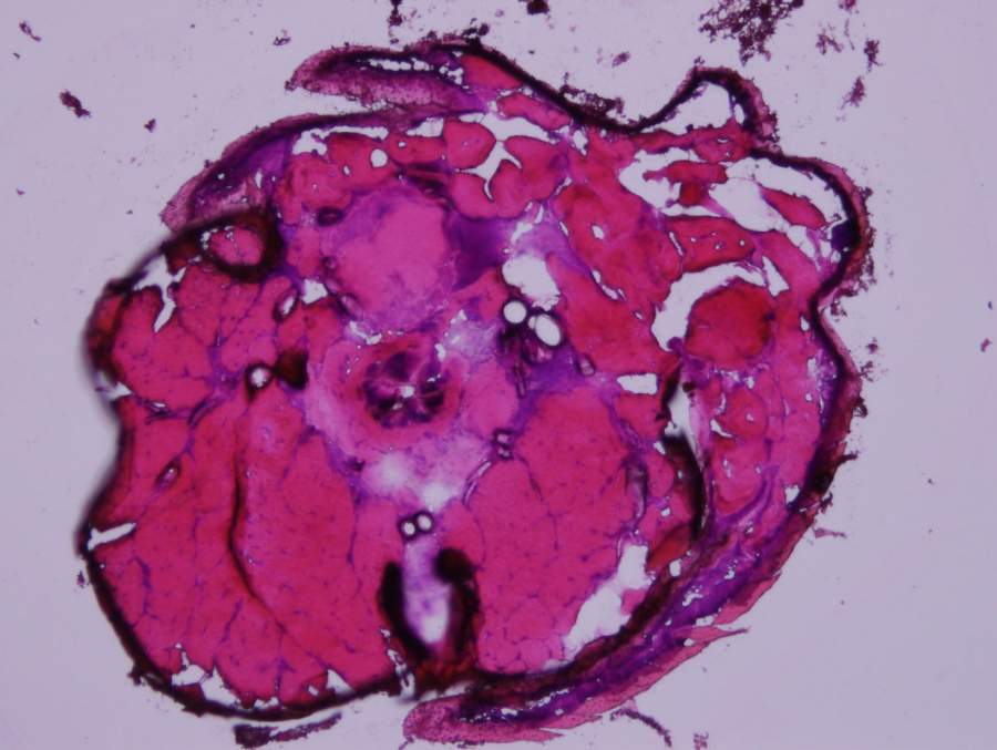
1. 请问为什么没有查询到有关于昆虫头部切片的HE染色呢? 2. 昆虫头部神经的HE染色和大鼠等模式生物的神经元等 病理学分析、分布是一样的吗? 3. 如果您也在做这方面的研究,是否可以留下联系方式进一步交流 4. 我们做了几张片子,但是不知道如何分析,还请高人指点。。可以追加金币 图像_0606.jpg 图像_0607.jpg 图像_0611.jpg |
» 猜你喜欢
今年春晚有几个节目很不错,点赞!
已经有12人回复
情人节自我反思:在爱情中有过遗憾吗?
已经有13人回复
体制内长辈说体制内绝大部分一辈子在底层,如同你们一样大部分普通教师忙且收入低
已经有12人回复
过年走亲戚时感受到了所开私家车的鄙视链
已经有9人回复
基金正文30页指的是报告正文还是整个申请书
已经有5人回复

青灯相忆
新虫 (小有名气)
- 应助: 0 (幼儿园)
- 金币: 260.1
- 散金: 21
- 帖子: 102
- 在线: 10.2小时
- 虫号: 7295010
- 注册: 2017-10-13
- 专业: 神经科学、认知科学与心理
2楼2017-10-15 10:04:01
zcqcau
铁杆木虫 (著名写手)
- 应助: 0 (幼儿园)
- 金币: 9904.4
- 散金: 57
- 红花: 2
- 帖子: 1384
- 在线: 40.5小时
- 虫号: 864634
- 注册: 2009-10-07
- 专业: 植物化学保护

3楼2017-10-15 13:57:53













回复此楼