| ²é¿´: 935 | »Ø¸´: 3 | ||
shanxianch½ð³æ (СÓÐÃûÆø)
|
[ÇóÖú]
´ó¼Ò°ïæ·ÖÎöһϲ¡Àí£¿
|
|
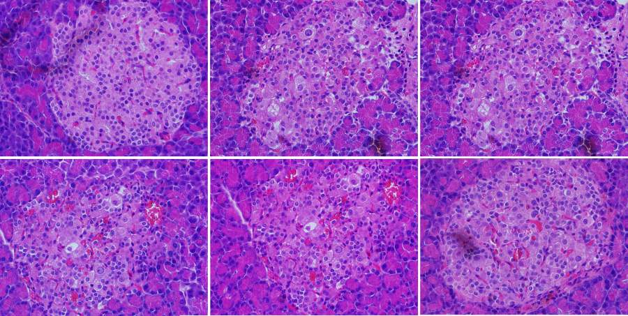
ÉÏÃæÈý¸ö£º´Ó×óµ½ÓÒ£¬Õý³£×顢ģÐÍ×é¡¢Ò©Îï1£»ÏÂÃæÈý¸ö£¬µÍ¼ÁÁ¿¡¢ÖмÁÁ¿¡¢¸ß¼ÁÁ¿£»ÒÈÏٵģ¬stz-hfd ¸ßÖ¬ËÇÁÏÁªºÏÁ´ëå×ô¾úËØÔìÄ£¶¯ÎïµÄ£¬×Ô¼º²»¶®£¬Ð»Ð»£»Ò²²»ÖªµÀͼƬºÏÊʲ»£¿ÇëÖ¸½Ì ×éºÏͼ¸±±¾.jpg |
» ²ÂÄãϲ»¶
×¢ÉäÓÿ¨·Ç×ôÃ×¹úÄÚÉÏÊÐ˵Ã÷Êé
ÒѾÓÐ1È˻ظ´
2025°æÒ©µä1-4²¿ µç×Ó°æÁí¸½2025Ò©µäºÍ2020Ò©µä¶Ô±È±í
ÒѾÓÐ9È˻ظ´
ºôÎüϵͳÂÛÎÄÈóÉ«/·ÒëÔõôÊÕ·Ñ?
ÒѾÓÐ210È˻ظ´
shanxianch
½ð³æ (СÓÐÃûÆø)
- Ó¦Öú: 0 (Ó×¶ùÔ°)
- ½ð±Ò: 672.5
- É¢½ð: 48
- ºì»¨: 3
- Ìû×Ó: 212
- ÔÚÏß: 141.9Сʱ
- ³æºÅ: 635044
- ×¢²á: 2008-10-24
- רҵ: ÖÐҩҩЧÎïÖÊ
2Â¥2016-06-08 21:17:11
fishyr
½ð³æ (ÕýʽдÊÖ)
- Ó¦Öú: 5 (Ó×¶ùÔ°)
- ½ð±Ò: 3357.2
- É¢½ð: 319
- ºì»¨: 2
- Ìû×Ó: 658
- ÔÚÏß: 782.5Сʱ
- ³æºÅ: 1075486
- ×¢²á: 2010-08-16
- ÐÔ±ð: GG
- רҵ: ÖÐÒ©Ò©ÐÔÀíÂÛ
3Â¥2016-06-28 11:06:02
star013
гæ (ÖªÃû×÷¼Ò)
- Ó¦Öú: 4 (Ó×¶ùÔ°)
- ½ð±Ò: 1488.5
- É¢½ð: 831
- ºì»¨: 33
- Ìû×Ó: 5395
- ÔÚÏß: 493.3Сʱ
- ³æºÅ: 1401381
- ×¢²á: 2011-09-14
- רҵ: ·¨Ñ§
4Â¥2016-06-28 18:24:33














»Ø¸´´ËÂ¥