| 查看: 1416 | 回复: 2 | ||
[求助]
急急急,在线等,植物愈伤组织石蜡切片老是感觉片子不清楚是怎么回事?
|
|
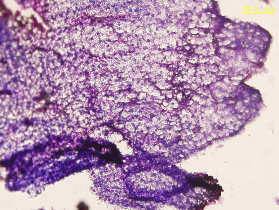
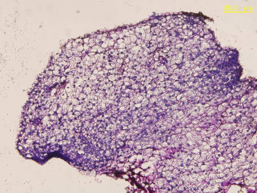
石蜡切片脱水是30%酒精20min,50%酒精20min,70%酒精20min,83%酒精10min,95%酒精5min,100%酒精3min。 脱蜡是二甲苯两个小时,后来发现切片不清楚,怀疑蜡没脱干净,40℃二甲苯浸泡过夜,但是今天看的时候还是这样,求大神指教这到底时候怎么回事? 在线等,急求答案。 Image4.jpg Image17.jpg@gyesang |
» 猜你喜欢
340求调剂
已经有5人回复
生物学学硕求调剂
已经有10人回复
上海电力大学材料防护与新材料重点实验室招收调剂研究生(材料、化学、电化学,环境)
已经有4人回复
材料学求调剂
已经有6人回复
303求调剂
已经有5人回复
一志愿武理085500机械专业总分300求调剂
已经有7人回复
考研调剂
已经有4人回复
281求调剂
已经有4人回复
0805 316求调剂
已经有6人回复
085601求调剂总分293英一数二
已经有3人回复


2楼2016-06-03 11:19:18
3楼2017-08-10 13:28:33













回复此楼
6