| 查看: 308 | 回复: 0 | ||
[求助]
大鼠甲状旁腺原代培养
|
|
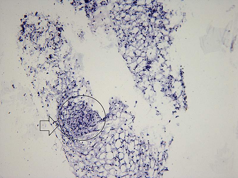
最近做大鼠甲状旁腺原代培养,参考文献也无法准确定位,请问有没有老师做过,可以发一下切下的甲状旁腺的图片,下面是我取得甲状旁腺的部位,以及HE染色的结果,请各位老师看看是不是甲状旁腺组织。 IMG_20160412_160606_副本.jpg jzpx hs 2_副本.jpg |
» 猜你喜欢
干货分享 | 带你快速入门JAK/STAT signaling pathways信号通路
已经有0人回复
标准品和对照品有哪些不一样?
已经有0人回复
影像医学与生物医学工程论文润色/翻译怎么收费?
已经有72人回复
干货分享 | 细胞复苏技巧,MDL科研助手来支招
已经有0人回复
干货分享 | 淋巴细胞和NK细胞,是如何生成的?
已经有5人回复
filecode新猜想:固定段(非总体)%2F的数量是否有提示作用?
已经有28人回复
Journal of Hazardous Materials投稿with editor要多久?
已经有5人回复
路在何方?
已经有6人回复














回复此楼