| 查看: 2229 | 回复: 1 | ||
[求助]
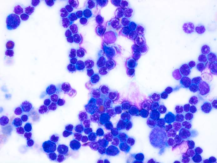
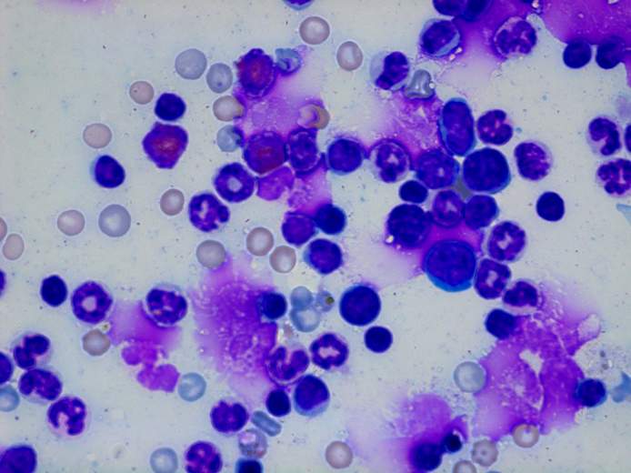
这是我涂的小鼠骨髓涂片,是不是不对啊
|
|
我想问一下我的这些骨髓涂片制作方法是不是错误的,这些是瑞氏染色方法。 我是挤出股骨中的骨髓,加了一点生理盐水混匀后涂开的。 请问大家有没有什么好的方法涂小鼠的骨髓涂片,主要是小鼠的挤不出什么骨髓液,不加生理盐水稀释很难涂开。 1.jpg 2.jpg |
» 猜你喜欢
中山大学附属第八医院招收2025级博士
已经有12人回复
中山大学附属第八医院招收2025级硕士研究生
已经有12人回复
影像医学与生物医学工程论文润色/翻译怎么收费?
已经有77人回复
求购HIB-1B细胞
已经有2人回复
中山大学附属第八医院-张慧东团队招收2026级保研硕士研究生
已经有15人回复
中山大学附属第八医院-张慧东团队招收2026级推免研究生
已经有7人回复
兰州大学招收2026级硕士研究生(中山大学联培)
已经有6人回复
Methoxy-PEG-Silane,MPEG-Silane,甲氧基PEG硅烷
已经有1人回复
中山大学-兰州大学联合招收2026级博士研究生
已经有15人回复
中山大学 张慧东团队 常年招收 博士研究生
已经有14人回复
中山大学 张慧东团队 常年招收 硕士研究生
已经有15人回复
zhuqiushi
至尊木虫 (正式写手)
Juventus
- 应助: 0 (幼儿园)
- 金币: 16165.1
- 红花: 1
- 帖子: 595
- 在线: 109.2小时
- 虫号: 530532
- 注册: 2008-03-22
- 性别: GG
- 专业: 血液系统

2楼2016-05-05 23:08:40














回复此楼