| 查看: 467 | 回复: 2 | |||
[交流]
奇怪的伴生菌 已有1人参与
|
|
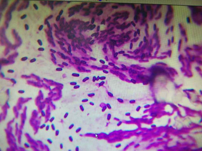
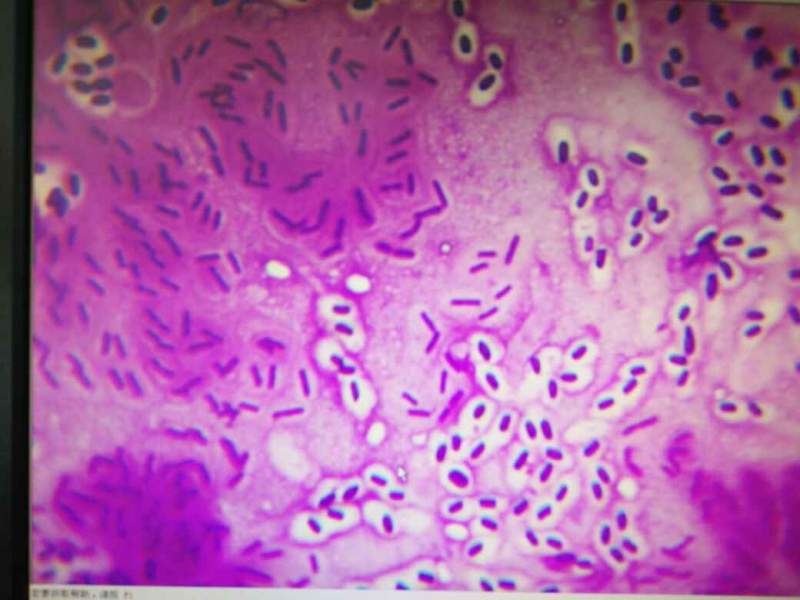
两者都是胶冻样芽孢杆菌,但却分不开。 发自小木虫Android客户端 |
» 猜你喜欢
有院领导为了换新车,用横向课题经费买了俩车
已经有4人回复
有时候真觉得大城市人没有县城人甚至个体户幸福
已经有9人回复
CSC & MSCA 博洛尼亚大学能源材料课题组博士/博士后招生|MSCA经费充足、排名优
已经有6人回复
天津大学招2026.09的博士生,欢迎大家推荐交流(博导是本人)
已经有4人回复
同年申请2项不同项目,第1个项目里不写第2个项目的信息,可以吗
已经有3人回复
面上项目申报
已经有3人回复
酰胺脱乙酰基
已经有9人回复
博士延得我,科研能力直往上蹿
已经有7人回复
面上基金申报没有其他的参与者成吗
已经有5人回复
遇见不省心的家人很难过
已经有22人回复
joshuablack
新虫 (小有名气)
- 应助: 11 (小学生)
- 金币: 206.8
- 红花: 5
- 帖子: 114
- 在线: 33.1小时
- 虫号: 2243893
- 注册: 2013-01-16
- 专业: 微生物学
2楼2016-03-08 13:07:22
3楼2016-03-08 14:23:23













回复此楼