| ²é¿´: 6252 | »Ø¸´: 2 | ||
1225823858zj½ð³æ (ÕýʽдÊÖ)
Ïë·ÉµÄ·çóÝ
|
[ÇóÖú]
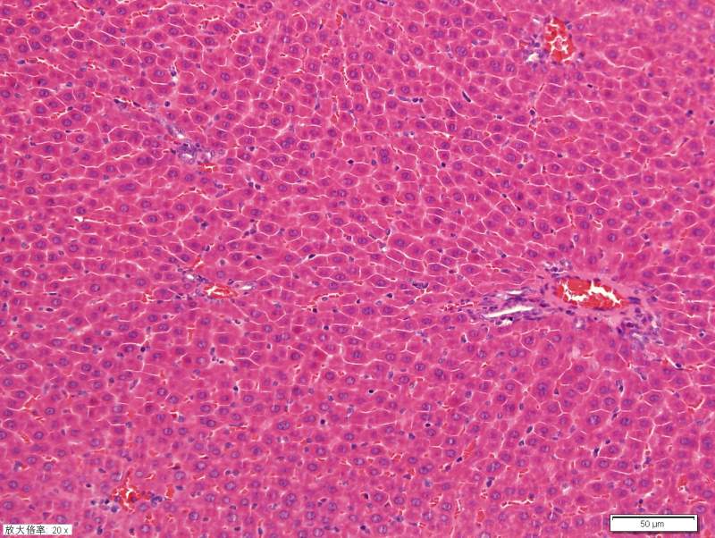
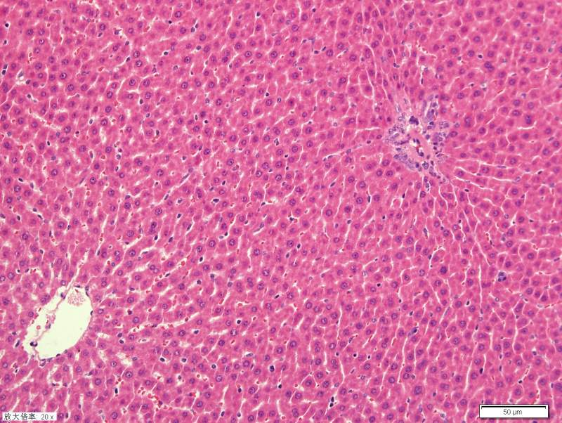
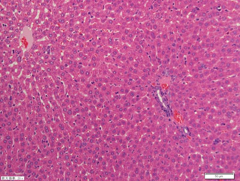
Çó¸÷λսÓѰïæ¿´¿´¸ÎÔàHEȾɫ½á¹û ÒÑÓÐ2È˲ÎÓë
|
|
Çó¸÷λսÓѰïæ¿´¿´ÎÒÕ⼸×é¸ÎÔàHEȾɫ½á¹ûÊÇ·ñ·¢ÉúÁ˲¡±ä ûÓÐѧ¹ý²¡Àí£¬ÕæÐÄ¿´µÄһͷÎíË®¡£¡£¡£Íû¸ßÊÖÖ¸½Ì£¬²»Éõ¸Ð¼¤ 1-1.jpg 2-1.jpg 3-1.jpg 4-1.jpg 5-1.jpg 6-1.jpg 11-1.jpg |
» ²ÂÄãϲ»¶
´óÊ󣬯ÏÌÑÌÇ
ÒѾÓÐ0È˻ظ´
ÖйúÖÐÒ©
ÒѾÓÐ4È˻ظ´
ºôÎüϵͳÂÛÎÄÈóÉ«/·ÒëÔõôÊÕ·Ñ?
ÒѾÓÐ235È˻ظ´
ÇóÎʵº½ò¸ßЧҺÏàLC-2030CÕâ¸öÐͺÅ
ÒѾÓÐ1È˻ظ´
311ÖÐҩѧ£¨100800£©Ò»Ö¾Ô¸³ÉÖÐÒ½Çóµ÷¼Á
ÒѾÓÐ0È˻ظ´
¸£½¨Å©ÁÖ´óѧÕÅ»ÝÓ¨¸±½ÌÊÚ΢ÔåÂÌÉ«¼¼ÊõÍŶÓÕÐÊÕר˶µ÷¼Á
ÒѾÓÐ1È˻ظ´
ΪʲôWBµÄĤÅܳÉÒ»°ë£¬Õû¸ö¶¼ÊǺÚÉ«µÄ£¿
ÒѾÓÐ0È˻ظ´
ÖÆ¼Á¹¤ÒÕ
ÒѾÓÐ6È˻ظ´
ҽѧ¸´ÊÔµ÷¼Á×Ô¼ö
ÒѾÓÐ1È˻ظ´

qq693056322
½ð³æ (СÓÐÃûÆø)
ronnie
- Ó¦Öú: 34 (СѧÉú)
- ½ð±Ò: 5496
- É¢½ð: 20
- ºì»¨: 5
- Ìû×Ó: 216
- ÔÚÏß: 150Сʱ
- ³æºÅ: 1226409
- ×¢²á: 2011-03-09
- ÐÔ±ð: GG
- רҵ: µ°°×ÖÊ×éѧ

2Â¥2016-03-03 17:32:06
reebok03
гæ (³õÈëÎÄ̳)
- Ó¦Öú: 1 (Ó×¶ùÔ°)
- ½ð±Ò: 36
- Ìû×Ó: 2
- ÔÚÏß: 1.3Сʱ
- ³æºÅ: 4463537
- ×¢²á: 2016-03-03
¡¾´ð°¸¡¿Ó¦Öú»ØÌû
¡ï ¡ï ¡ï ¡ï ¡ï ¡ï ¡ï ¡ï ¡ï ¡ï ¡ï ¡ï ¡ï ¡ï ¡ï ¡ï ¡ï ¡ï ¡ï ¡ï ¡ï ¡ï ¡ï ¡ï ¡ï ¡ï ¡ï ¡ï ¡ï ¡ï ¡ï ¡ï ¡ï ¡ï ¡ï ¡ï ¡ï ¡ï ¡ï ¡ï ¡ï ¡ï ¡ï ¡ï ¡ï ¡ï ¡ï ¡ï ¡ï ¡ï
¸Ðл²ÎÓ룬ӦÖúÖ¸Êý +1
1225823858zj: ½ð±Ò+50, ¡ï¡ï¡ï¡ï¡ï×î¼Ñ´ð°¸ 2016-07-08 15:56:31
¸Ðл²ÎÓ룬ӦÖúÖ¸Êý +1
1225823858zj: ½ð±Ò+50, ¡ï¡ï¡ï¡ï¡ï×î¼Ñ´ð°¸ 2016-07-08 15:56:31
| ÓÐÑ×֢ϸ°û£¬µ«ÊÇ¿´ÆðÀ´ÏñÊÇÕý³£¸ÎÔà×éÖ¯£¬ÁíÍ⣬ÇÐÆ¬ÓпªÁÑÏÖÏ󣬿ÉÄÜÊÇÄãʹÓõÄ×éÖ¯¹Ì¶¨ÒºÓÐÎÊÌâ¡£ |
3Â¥2016-03-04 08:33:19













»Ø¸´´ËÂ¥