| ²é¿´: 16842 | »Ø¸´: 0 | ||
[ÇóÖú]
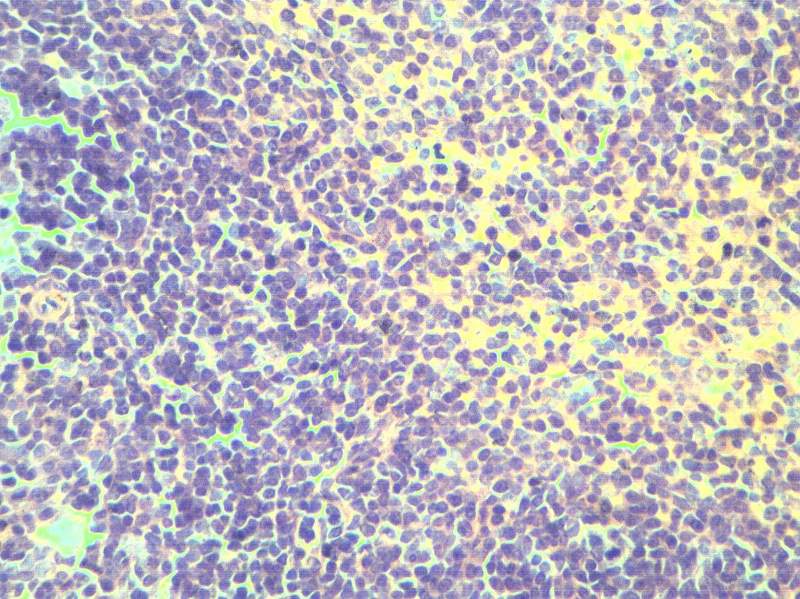
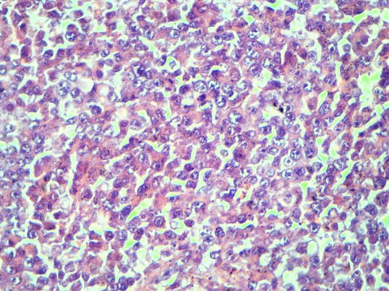
СÊóÆ¢ÔàºÍÖ×Áö×éÖ¯HEȾɫ½á¹ûÃèÊö
|
|
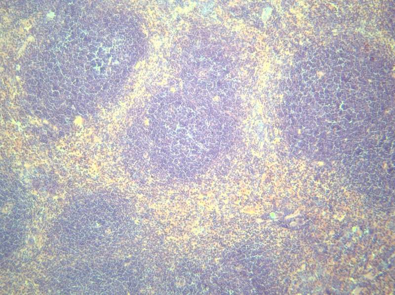
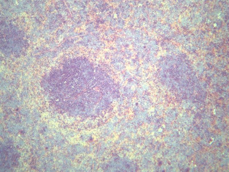
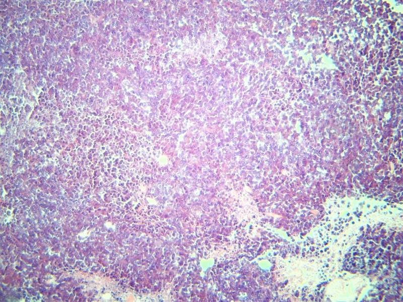
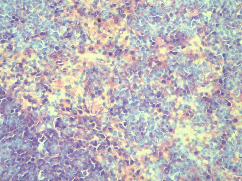
×î½üÔÚ×öÒ©ÀíʵÑ飬¶ÔСÊóµÄÆ¢ÔàºÍÖ×Áö×éÖ¯½øÐÐÁËHEȾɫ£¬¿àÓÚ¶ÔÆ¢Ôà½á¹¹²»Á˽ⲻ»á¶Ô½á¹û½øÐзÖÎö£¬ÌØÏò´ó¼ÒÇóÖú£¬Íò·Ö¸Ðл Æ¢ÔàµÍ±¶ Æ¢Ôà¸ß±¶ Æ¢ÔàµÍ±¶ Æ¢Ôà¸ß±¶ Ö×Áö×éÖ¯µÍ±¶ Ö×Áö×éÖ¯¸ß±¶ |
» ²ÂÄãϲ»¶
321Çóµ÷¼Á
ÒѾÓÐ10È˻ظ´
¶«»ªÀí¹¤´óѧ»¯²Äרҵ26½ì˶ʿ²©Ê¿ÉêÇë
ÒѾÓÐ8È˻ظ´
288Çóµ÷¼Á
ÒѾÓÐ11È˻ظ´
¡¾¿¼Ñе÷¼Á¡¿»¯Ñ§×¨Òµ 281·Ö£¬Ò»Ö¾Ô¸ËÄ´¨´óѧ£¬³ÏÐÄÇóµ÷¼Á
ÒѾÓÐ5È˻ظ´
ÄÜÔ´²ÄÁÏ»¯Ñ§¿ÎÌâ×éÕÐÊÕ˶ʿÑо¿Éú8-10Ãû
ÒѾÓÐ12È˻ظ´
0703»¯Ñ§µ÷¼Á
ÒѾÓÐ4È˻ظ´
ÕÐÊÕµ÷¼Á˶ʿ
ÒѾÓÐ10È˻ظ´
271²ÄÁϹ¤³ÌÇóµ÷¼Á
ÒѾÓÐ6È˻ظ´
²ÄÁÏר˶274Ò»Ö¾Ô¸ÉÂÎ÷ʦ·¶´óѧÇóµ÷¼Á
ÒѾÓÐ8È˻ظ´
Ò»Ö¾Ô¸Î人Àí¹¤²ÄÁϹ¤³Ìר˶µ÷¼Á
ÒѾÓÐ4È˻ظ´













»Ø¸´´ËÂ¥