| 查看: 1662 | 回复: 11 | ||
| 当前只显示满足指定条件的回帖,点击这里查看本话题的所有回帖 | ||
[求助]
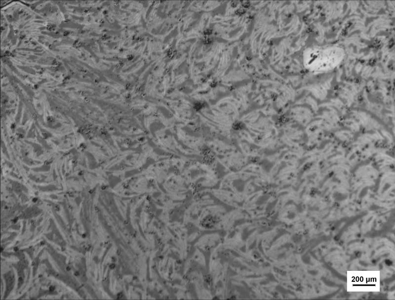
求分析金相组织,低合金高强钢焊缝组织,给我看看金相是不是没有做好? 已有3人参与
|
||
|
做的事低合金高强度钢焊缝组织,工艺是co2气体保护焊,金相是不是没有最好?求各位大神给分析分析,是什么组织? 004.JPG bar12 (2).JPG bar12 (5).JPG bar12 (6).JPG bar12 (7).JPG |
» 猜你喜欢
职称评审没过,求安慰
已经有49人回复
26申博自荐
已经有3人回复
A期刊撤稿
已经有4人回复
垃圾破二本职称评审标准
已经有17人回复
投稿Elsevier的Neoplasia杂志,到最后选publishing options时页面空白,不能完成投稿
已经有22人回复
EST投稿状态问题
已经有7人回复
毕业后当辅导员了,天天各种学生超烦
已经有4人回复
三无产品还有机会吗
已经有6人回复
11楼2016-05-04 08:36:23
zhyb2007
木虫 (正式写手)
- 应助: 26 (小学生)
- 金币: 2525.3
- 红花: 4
- 帖子: 533
- 在线: 136.2小时
- 虫号: 3767945
- 注册: 2015-03-27
- 性别: GG
- 专业: 金属材料
2楼2016-01-23 10:38:14
ruirui4598
木虫 (正式写手)
- 应助: 49 (小学生)
- 金币: 3991.6
- 红花: 11
- 帖子: 357
- 在线: 32.2小时
- 虫号: 3602302
- 注册: 2014-12-19
- 专业: 金属材料的微观结构
3楼2016-01-23 10:38:50
4楼2016-01-23 10:39:54













回复此楼
送红花一朵