| 查看: 4046 | 回复: 26 | ||
| 当前只显示满足指定条件的回帖,点击这里查看本话题的所有回帖 | ||
[求助]
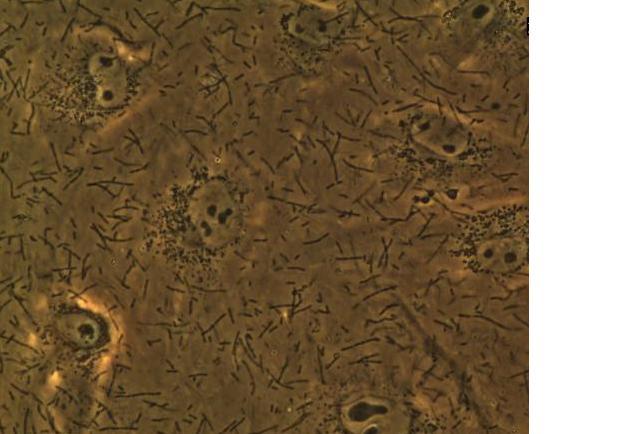
细胞培养中出现的长长短短的‘小虫’,请问这是什么污染?
|
||
|
最近在做逆转录病毒的包装和感染,没想到细胞中出现了这样让人震精加恶心的东西,起初是短杆状,后来可以聚成不同长度的条状,能在培养中各种震动,游动,摆动,翻转.....呃(吐...),生长速度极快,离心清洗之后,视野下看起来满干净,过个12小时的样子,就能长得满视野,但它不会让细胞死亡,细胞好像也会缓慢地分裂,请问大家,这到底是什么污染呢? |
» 猜你喜欢
筑牢营养安全线:以精准检测,护健康基石
已经有0人回复
推荐一些20种氨基酸检测的实际应用案例
已经有0人回复
化学工程及工业化学论文润色/翻译怎么收费?
已经有86人回复
不合理蛙科研实验中的趣事:实验器材的 “乌龙”
已经有0人回复
不合理蛙科研实验中的趣事:和实验材料的 “斗智斗勇”
已经有0人回复
蛋白质检测:精准分析,解锁生物分子的密码
已经有0人回复
不合理蛙科研实验之小鼠实验:严谨设计,解析生命机制的重要载体
已经有0人回复
不合理蛙科研实验之重金属检测:精准筛查,守护健康与环境的防线
已经有0人回复
不合理蛙科研实验之“蛙测重金属我背锅三千”
已经有0人回复
不合理蛙科研实验之“鼠逃三次我发三篇SCI”
已经有0人回复
mier.
木虫 (著名写手)
- 应助: 12 (小学生)
- 金币: 5138.6
- 散金: 42
- 红花: 11
- 沙发: 7
- 帖子: 2445
- 在线: 256小时
- 虫号: 1854089
- 注册: 2012-06-10
- 性别: MM
- 专业: 细胞增殖、生长与分化

22楼2013-06-03 13:48:29
2楼2012-07-20 14:16:00
ljsh
铁杆木虫 (著名写手)
- 应助: 7 (幼儿园)
- 金币: 9612.1
- 红花: 1
- 帖子: 1836
- 在线: 382小时
- 虫号: 152856
- 注册: 2006-01-02
- 专业: 免疫学研究新技术与新方法
3楼2012-07-20 15:37:26
fjtony163
版主 (文坛精英)
米米
- 应助: 361 (硕士)
- 贵宾: 6.876
- 金币: 70610.6
- 散金: 36050
- 红花: 222
- 沙发: 616
- 帖子: 21912
- 在线: 3793.7小时
- 虫号: 1397876
- 注册: 2011-09-11
- 专业: 遗传学研究新技术与方法
- 管辖: 论文翻译
5楼2012-07-20 16:20:56













回复此楼